
NEW PATIENT
SPECIAL
Includes Exam, Regular
Cleaning & X-Rays
*In the absence of gum disease


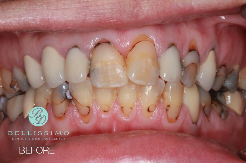
Routine exams help catch cavities, gum disease, oral cancer, and other issues early. Dr. Matheson thoroughly checks your teeth, gums, jaw, and bite to prevent problems before they become serious.

Our gentle hygienists use advanced techniques to remove plaque and tartar buildup in hard-to-reach areas, reducing your risk of gum disease and tooth decay while keeping your breath fresh.

Early detection is crucial. We screen for abnormal tissue, sores, or discoloration that could signal early signs of oral cancer fast, painless, and included in your exam.

Our low-radiation digital imaging captures detailed pictures of your teeth and jawbone, helping us identify cavities, bone loss, infections, and hidden issues that can’t be seen during a visual exam.
Fluoride strengthens enamel and helps prevent tooth decay, especially for kids, teens, and patients prone to cavities. It's a quick and effective part of our cleaning.

If you’re missing one or more teeth, a bridge can fill the gap using crowns on either side of the missing tooth and an artificial tooth in between, restoring chewing function and appearance.
We have so many wonderful successes, see our work and how it's changed people's lives.


Led by Dr. Alexander Matheson, a trusted name in Chandler for high-quality, compassionate care.
State-of-the-art technology, including digital imaging and same-day restorations.
Comprehensive services under one roof, from cleanings to cosmetic makeovers and implants.
Warm, welcoming atmosphere, that prioritizes patient comfort and education.
Hundreds of 5-star reviews, and a loyal patient base that speaks to the quality of care.
Flexible scheduling & financing options, to make care accessible for everyone.
With over 30 years of experience, Dr. Matheson and the Bellissimo team are proud to provide expert dental care in a warm, family-friendly environment. We believe every patient deserves to be treated with compassion, respect, and a personal touch just like family.
Watch the video to hear from Dr. Matheson and our team about what makes Bellissimo Dentistry truly different and why generations of families trust us with their smiles.
Visiting a general and family dentist is key to achieving and maintaining optimal oral health.
A general dentist will evaluate your current state of dental health, alert you to any potential issues, and provide individualized advice for the best way to maintain your healthy smile. They are also able to provide preventative services that allow them to detect problems early on while they still may be treatable. With regular appointments, the general dentist can create a customized oral hygiene plan just for you, ensuring you keep your beautiful smile bright and healthy well into the future. Don't wait until a problem arises- take control of your mouth's health today by visiting an experienced general dentist.
"I can honestly say that the doctors, hygienists, assistants and front office staff from Amanda B, Sammy, Dr. Holder, Christina and Alyssa are amongst the most wonderful women I have came in contact with. They are the best staff Bellissimo could ask for! I should know, because I work with each of them, and they are pretty fantastic! I would recommend this office to anyone in the Chandler or surrounding areas for wonderful customer service and beautiful dentistry they provide! Thank you for being awesome, girls!! ❤️"

"I love Bellissimo dentistry! I hadn’t been in a while and loved their personalized mailed postcards I’ve been receiving to remind me of my overdue cleanings! . The staff is always friendly and professional, making me feel comfortable throughout my appointment. Doctor Holder is super friendly , knowledgeable and thorough, providing excellent care and explaining everything in a clear and understandable manner. I would highly recommend this dentist office for their exceptional service."
"I was referred here by my wife. I’m happy I listened to her. My experience was great. The doctors and hygienist were very informative. The staff here seem genuinely happy and enjoyed being there. Great office!"
For general dentistry visits, it is recommended that you be seen by your general dentist at least once every six months. During general dental check-ups, your dentist will perform a comprehensive evaluation to assess the health of your teeth and gums. They will also look for signs of cavities and other conditions such as gum disease or oral cancer. Additionally, general dentists can recommend preventative treatments such as cleanings and fluoride treatments to help keep your smile healthy. Visiting your general dentist regularly is important not only for maintaining healthy teeth and gums but also for early detection, which can save you time and money in the long run!
Everyone is a candidate for general dentistry. Your health and well-being need to keep your teeth clean and in prime condition. If you haven't seen a dentist in the last 6 months, if you’ve been experiencing persistent dental pain, or if you're
experiencing other general issues, now is the time to schedule an appointment. Our team of experienced professionals will make you feel comfortable, answer your questions, and create a custom treatment plan just for you.
When you visit Bellissimo Dentistry for a general dentistry appointment, here’s what you can expect:
Warm welcome and check-in by our friendly front desk staff.
Thorough review of your dental and medical history.
Professional cleaning by one of our skilled hygienists.
Comprehensive exam by Dr. Matheson, including digital x-rays.
Discussion of next steps, whether it’s preventative care or treatment planning.
Transparent pricing and help with insurance or payment options.
We believe in dentistry that is never rushed, always thorough, and centered around your goals.
Think of general dentistry as the foundation of a healthy smile. It includes regular checkups, cleanings, and basic treatments that help keep your teeth and gums in great shape for the long haul.
We recommend coming in for a dental checkup every six months. These routine visits help catch any issues early and keep your smile on the right track. But don’t worry—we’ll always let you know what schedule works best for you.
A standard visit typically includes a professional cleaning to remove plaque and tartar, a comprehensive dental exam, and, if necessary, X-rays. It’s also a great time to ask questions or talk about anything you’ve noticed with your teeth or gums.
Brushing and flossing at home are super important, but cleanings help take care of buildup in those tricky spots that are tough to reach. Plus, it’s a great way to stay ahead of cavities and gum issues before they become bigger problems.
Any kind of pain or sensitivity in your mouth is your mouth’s way of saying, “Hey, something’s not right!” Don’t wait it out—give us a call so we can take a closer look and help you feel better as soon as possible.
Many general dental offices welcome patients of all ages, including little ones! If you’re looking for a family-friendly place, just ask when you call to schedule.
Not always. X-rays help us see what’s going on beneath the surface, but they’re only taken when necessary. Your dentist will recommend them based on your specific dental needs.
It’s easy! You can contact our Chandler office by phone or request a visit through our website. We’ll find a time that works for you and make sure your experience is smooth from start to finish.